Лёгочная консолидация
Лёгочная консолидация (лёгочное опеченение) — уплотнение лёгочной ткани за счёт заполнения воздушных в норме альвеол содержимым[1] (экссудатом, транссудатом, кровью, водой и т. д.).
| Симптом консолидации | |
|---|---|
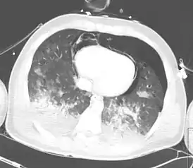
Наряду с травматическим двухсторонним гемопневмотораксом, пневмоперикардом и пневмомедиастинумом, визуализируются распространённые зоны консолидации в нижних долях обоих лёгких, обусловленные контузией. | |
| Вид исследования | рентгенография, компьютерная томография |
| Область исследования | грудная клетка |
| Заболевания | уплотнение лёгочной ткани |
При консолидации плотность лёгочной ткани повышается вплоть до мягкотканной, печёночной. Клинически консолидация проявляется ограничением подвижности грудной клетки на стороне поражения, усиленным голосовым дрожанием, притуплением перкуторного звука, бронхиальным дыханием[2]. При радиологических исследованиях (рентгенографии, компьютерной томографии) лёгочная консолидация представляет собой участки, непроницаемые для рентгеновских лучей, на фоне которых не прослеживается сосудистый рисунок лёгочной ткани (в отличие от менее выраженного снижения воздушности по типу «матового стекла»). Консолидация наиболее типична для сформировавшейся зоны пневмонии, встречается при интерстициальных заболеваниях лёгочной ткани.
Примечания
- Consolidation - Definition. Merriam-Webster. Дата обращения: 16 января 2009. Архивировано 11 сентября 2012 года.
- Talley and O’Connor (2001). Clinical Examination, a Clinical Guide to Physical Diagnosis. Elsevier 4:121
