Абсцесс головного мозга
Абсцесс головного мозга — очаговое скопление гноя в веществе головного мозга[1].
| Абсцесс головного мозга | |
|---|---|
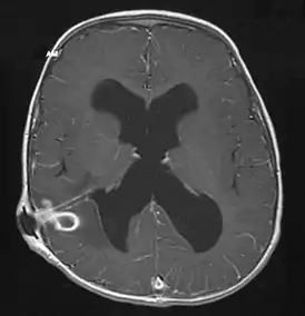
![]() Абсцесс головного мозга у пациента с вентрикулярным шунтом (МРТ с контрастным усилением). | |
| МКБ-10 | G06.0, G07. |
| МКБ-9 | 324.0 |
| DiseasesDB | 6880 |
| MedlinePlus | 000783 |
| MeSH | D001922 |
Классификация
- По этиологии:
- риногенные абсцессы мозга (вследствие гнойных ринитов, синуситов)
- отогенные абсцессы мозга (вследствие гнойных отитов, лабиринтитов, евстахиитов, мастоидитов)
- абсцессы в результате черепно-мозговой травмы
- метастатические абсцессы в результате гнойных поражений других органов, преимущественно лёгких.
- По расположению очага абсцесса:
- абсцесс височной доли
- абсцесс мозжечка
- абсцесс лобной доли
- абсцессы теменной и затылочной доли[2]
Этиопатогенез
Абсцессы головного мозга всегда вторичны[3]. Чаще всего заболевание вызывают стафилококки, стрептококки, грибы, кишечные палочки, анаэробные бактерии. Существует два механизма распространения инфекции: контактный и гематогенный. Механизм контактного распространения заключается в том, что абсцесс головного мозга может возникнуть как следствие отитов и мастоидитов, причём само скопление гноя локализуется в височной доле и мозжечке (отогенные абсцессы). Механизм гематогенного распространения заключается в возникновении абсцесса в результате бактериемии во время пневмонии или инфекционного эндокардита (метастатические абсцессы). При абсцессах такого типа источник бактериемии не удаётся обнаружить в 1/5 случаев[4].
Эпидемиология
Заболеваемость абсцессом головного мозга после появления антибиотиков остаётся относительно постоянной. Абсцесс головного мозга встречается довольно редко: по данным аутопсий — в 0,18-1,3 % случаев. Частота этого заболевания среди поступивших в многопрофильные больницы составляет 1:10000. В развитых странах в нейрохирургические отделения ежегодно поступают 4-10 больных с абсцессом головного мозга. Хотя, по некоторым данным, заболеваемость абсцессом головного мозга в последние годы несколько возросла, это можно объяснить совершенствованием методов диагностики. В развивающихся странах абсцесс головного мозга остаётся серьёзной проблемой; особенно часто болеют дети из бедных семей. Многие инфекции ЦНС у больных СПИДом протекают в виде абсцесса головного мозга. Например, только распространённость токсоплазменного энцефалита при СПИДе колеблется от 2,6 до 30,8 %. Абсцесс головного мозга в 2 раза чаще встречается у мужчин. Средний возраст больных — 30-45 лет. Около четверти заболевших — дети младше 15 лет. В возрасте до 2 лет абсцесс головного мозга встречается крайне редко и, как правило, является осложнением менингита, вызванного грамотрицательными палочками (главным образом Citrobacter koseri). По данным ряда исследований, абсцесс головного мозга, осложняющий средний отит, чаще всего встречается в детском возрасте и после 40 лет. Напротив, абсцесс головного мозга на фоне синусита обычно наблюдается в возрасте 10-30 лет.
Клиническая картина
Для данного поражения головного мозга характерны следующие симптомы[5]:
- головная боль;
- лихорадка;
- очаговая неврологическая симптоматика;
- менингеальные симптомы;
- эпилептические припадки;
- может развиться отёк мозга.
Диагностика и дифференциальная диагностика
Диагностировать данное заболевание следует по данным анамнеза, наличию симптомов заболевания и прогрессирующему течению. Методами выбора для инструментальной диагностики абсцесса головного мозга являются компьютерная и магнитно-резонансная томография. При невозможности проведения данных исследований, назначают эхоэнцефалоскопию, которая позволяет выявить возможное смещение срединных структур мозга, а также краниографию, с помощью которой возможно определение признаков внутричерепной гипертензии. Возможно проведение люмбальной пункции, но при тяжёлом течении заболевания у больного данная методика диагностики может привести даже к летальному исходу[6].
Дифференциальный диагноз следует с опухолью головного мозга, инсультом, энцефалитом[7].
Лечение и прогноз
Лечение медикаментозное с применением различных антибиотиков, витаминов и ноотропных средств и нейрохирургическое, заключающееся в удалении абсцесса. Прогноз обычно благоприятный. Летальность исхода ниже 10 %[6].
Профилактика
Полноценное питание (употребление свежих овощей и фруктов, мясных продуктов, приём витаминов А, Е, С, а также витаминов группы B. Достаточный объём хирургической помощи по обеззараживанию раны при черепно-мозговых травмах. Своевременное лечение гнойных процессов в придаточных пазухах носа, внутреннем и среднем ухе. Своевременное лечение очагов инфекции в организме: фурункулов (гнойное воспаление волосяных луковиц), пневмонии (воспаление ткани лёгкого).
Санация очагов хронической инфекции.
Примечания
- Под редакцией А.И. Воробьёва. Справочник практического врача. — Медицина, 1982. — С. 392. — 656 с. — 300 000 экз.
- Абсцесс мозга — справочник по неврологии
- В.В. Михеев, П.В. Мельничук. Нервные болезни. — Москва: Медицина, 1981. — С. 419—422. — 544 с. — 70 000 экз.
- Абсцесс головного мозга на med74.ru. Дата обращения: 16 августа 2010.
- Абсцесс головного мозга на zabolevaniya.ru. Дата обращения: 16 августа 2010.
- Абсцесс головного мозга на eurolab.ua. Дата обращения: 16 августа 2010. Архивировано 6 мая 2012 года.
- Абсцесс головного мозга на medikk.ru (недоступная ссылка). Дата обращения: 16 августа 2010. Архивировано 4 октября 2012 года.
_--_showing_a_small_ring-enhancing_lesion_with_mild_surrounding_edema_adjacent_to_the_ventricular_catheter_and_ventricular_dilatation..jpg.webp)