Болезнь Коутса
Болезнь Коутса (также известная как экссудативный ретинит или телеангиэктазия сетчатки) — очень редкое врождённое ненаследственное заболевание глаз, вызывающее полную или частичную слепоту и характеризующееся аномальным развитием кровеносных сосудов позади сетчатки. Болезнь Коутса также может вызывать глаукому. Может выглядеть как ретинобластома[3].
| Болезнь Коутса | |
|---|---|
![]() Клиническая фотография пациента с болезнью Коутса, показывающая гиперемию конъюнктивы, умеренный отёк роговицы, задние синехии и катаракту. | |
| МКБ-11 | 9B78.13 |
| МКБ-10 | H35.0 |
| МКБ-10-КМ | H35.02, H35.07 и H35.0 |
| МКБ-9 | 362.12 |
| МКБ-9-КМ | 362.12[1][2] |
| OMIM | 300216 |
| DiseasesDB | 31162 |
| MeSH | D058456 |
Представление
Болезнь Коутса, как правило, влияет только на один глаз (односторонняя) и происходит преимущественно у молодых мужчин 1/100 000, симптомы обычно появляются в первой декаде жизни. Пик возраста начала между 6-8 лет, но начало может варьироваться от 5 месяцев до 71 лет[4][5].
Болезнь Коутса приводит к постепенной потере зрения. Происходит утечка крови из аномальных сосудов в задней части глаза, оставляющая сзади холестериновые отложения и повреждающая сетчатку. Болезнь Коутса обычно прогрессирует медленно. В поздних стадиях может произойти отслоение сетчатки. Глаукома, атрофия и катаракта могут развиваться в качестве вторичного процесса к болезни Коутса. В некоторых случаях может понадобиться удаление глаза (энуклеация).
Признаки и симптомы
Наиболее распространённым видимым признаком является лейкокория (аномальный белый рефлекс сетчатки)[4]. Симптомы обычно начинаются с затуманенного зрения, ярко выраженного, когда один глаз закрыт (из-за одностороннего характера заболевания). Обычно здоровый глаз компенсирует потери зрения в другом глазу; однако это приводит к некоторой потере восприятия глубины и параллаксу. Ухудшение зрения может начаться либо с центральной, либо с периферической области. Ухудшение может начаться в верхней части поля зрения, так как это соответствует нижней части глаза, где кровь обычно скапливается. Вспышки света, известные как фотопсия, и деструкция стекловидного тела — общие симптомы. Постоянные цветные узоры могут восприниматься поражённым глазом, которые вначале могут быть ошибочно приняты за психологические галлюцинации, но на самом деле являются результатом отслоения сетчатки и действия посторонних жидкостей, механически взаимодействующих с фоторецепторами, расположенными в сетчатке.
Одним из первых предупреждающих симптомов болезни Коутса является «жёлтый глаз» при съёмке со вспышкой. Так же, как эффект красных глаз, который вызван отражением от кровеносных сосудов в задней части нормального глаза, глаз, пострадавших от болезни Коутса, будет светиться жёлтым на фотографии, так как свет отражается от отложений холестерина. Детям с жёлтым глазом на фотографиях, как правило, рекомендуется немедленно пройти обследование у офтальмолога, который оценит и диагностирует состояние, и обратиться к витреоретинальному специалисту.

Болезнь Коутса сама по себе безболезненна. Боль может возникнуть, если жидкость не может вытечь из глаза должным образом, вызывая рост внутреннего давления, порождая болезненную глаукому.
Патогенез
Болезнь Коутса, как полагают, результат распада гемато-ретинального барьера эндотелиальных клеток, в результате происходит утечка продуктов крови, содержащих холестериновые кристаллы и липидосодержащих макрофагов в сетчатку и субретинальное пространство. Со временем накопление этого белкового экссудата утолщает сетчатку, что приводит к массовому, экссудативному отслоению сетчатки[4][6].
Диагностика
При осмотре глазного дна, сосуды сетчатки в начале болезни Коутса просматриваются извилистые и расширенные, в основном приуроченные к периферийным и височным участкам сетчатки[4]. В средней и тяжёлой стадии болезни Коутса видно массивное отслоение сетчатки и кровоизлияния из аномальных сосудов[4][7].
Результаты визуализации

Визуализирующие исследования, такие как ультразвуковое исследование (УЗИ), компьютерная томография (КТ) и магнитно-резонансная томография (МРТ) могут помочь диагностике. На УЗИ, болезнь Коутса выглядит как гиперэхогенная масса в задней части стекловидного тела без задней акустической тени; также наблюдаются кровоизлияния в стекловидное тело и субретинальную область[8][9].
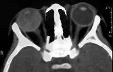
На КТ, гиперплотный шар появляется на фоне обычного стекловидного тела из-за белкового экссудата, который может уничтожить стекловидное тело на поздних стадиях заболевания. Передний край субретинального экссудата усиливается с контрастом. Поскольку сетчатка фиксируется сзади оптического диска, это усиление имеет V-образную конфигурацию[4].
На МРТ, субретинальный экссудат показывает высокую интенсивность сигнала как на Т1 так и на Т2-взвешенных изображениях. Экссудат может показаться гетерогенным при наличии кровотечения или фиброза. Субретинальная пространство не увеличивается гадолиниевыми контрастными агентами. От лёгкого до умеренного линейное усиление видно между экссудатом и остальной частью стекловидного тела. В 1H-ЯМР спектре экссудата наблюдается большой пик при 1—1,6 ppm[10].
Патологические результаты

Как правило, макроскопически видны отслоение сетчатки и желтоватый субретинальный экссудат, содержащий кристаллы холестерина.

Микроскопически, стенки сосудов сетчатки могут утолщаться в некоторых случаях, в то время как в других случаях стенки может быть истончены с нерегулярным расширением просветов[11]. Субретинальный экссудат состоит из кристаллов холестерина, макрофагов, нагруженных холестерином и пигментом, эритроцитов, и гемосидерина[12]. Гранулематозную реакцию, индуцированную экссудатом, может быть видно в сетчатке[13]. Фрагменты сетчатки могут развивать глиоз в ответ на повреждение.
Лечение
На ранних стадиях, существует несколько вариантов лечения. Лазерная хирургия или криотерапия (замораживание) может использоваться для уничтожения аномальных кровеносных сосудов, тем самым останавливая прогрессирование заболевания. Тем не менее, если утечка кровеносных сосудов группируется вокруг зрительного нерва, это лечение не рекомендуется, так как случайное повреждение нерва само по себе может привести к постоянной слепоте. Хотя болезнь Коутса имеет тенденцию прогрессировать до потери зрения, прогрессирование может остановиться само по себе, временно или постоянно. Были зарегистрированы случаи, в которых состояние реверсировало само себя. Однако, если происходит общее отслоение сетчатки, в большинстве случаев зрение теряется постоянно. Удаление глаза (энуклеация) является вариантом, если возникает боль или дальнейшие осложнения.
Примечания
- база данных Disease ontology (англ.) — 2016.
- Monarch Disease Ontology release 2018-06-29sonu — 2018-06-29 — 2018.
- Shields C.L., Uysal Y., Benevides R., Eagle R.C., Malloy B., Shields J.A. Retinoblastoma in an eye with features of Coats' disease (англ.) // J Pediatr Ophthalmol Strabismus : journal. — 2006. — Vol. 43, no. 5. — P. 313—315. — PMID 17022167.
- EdwardDP, Mafee MF, Garcia-Valenzuela E, Weiss RA. Coats’ disease and persistent hyperplastic primary vitreous: role of MR imaging and CT. Radiol Clin North Am 1998; 36(6): 1119—1131.
- WoodsAC, Duke JR. Coats’s disease. I. Review of the literature, diagnostic criteria, clinical findings, and plasma lipid studies. Br J Ophthalmol 1963; 47: 385—412.
- ChangMM, McLean IW, Merritt JC. Coats’ disease: a study of 62 histologically confirmed cases. J Pediatr Ophthalmol Strabismus 1984; 21(5): 163—168.
- ShieldsJA, Shields CL. Review: Coats disease—the 2001 LuEsther T. Mertz lecture. Retina 2002; 22(1): 80-91.
- BerrocalT, de Orbe A, Prieto C, et al. US and color Doppler imaging of ocular and orbital disease in the pediatric age group. RadioGraphics 1996; 16(2): 251—272.
- GlasierCM, Brodsky MC, Leithiser RE Jr, Williamson SL, Seibert JJ. High resolution ultrasound with Doppler: a diagnostic adjunct in orbital and ocular lesions in children. Pediatr Radiol 1992; 22(3): 174—178.
- EisenbergL, Castillo M, Kwock L, Mukherji SK, Wallace DK. Proton MR spectroscopy in Coats disease. AJNR Am J Neuroradiol 1997; 18(4): 727—729.
- Chung EM, Specht CS, Schroeder JW. Pediatric Orbit Tumors and Turmorlike Lesions: Neuroepthelial Lesions of the Ocular Globe and Optic Nerve. Radiographics. 2007 Jul-Aug;27(4):1159-86.
- KremerI, Nissenkorn I, Ben-Sira I. Cytologic and biochemical examination of the subretinal fluid in diagnosis of Coats’ disease. Acta Ophthalmol (Copenh) 1989; 67(3): 342—346.
- FernandesBF, Odashiro AN, Maloney S, Zajdenweber ME, Lopes AG, Burnier MN Jr. Clinical-histopathological correlation in a case of Coats’ disease. Diagn Pathol 2006; 1: 24.
- synd/2146 на Who Named It?
- G. Coats. Forms of retinal disease with massive exudation. Royal London Ophthalmic Hospital Reports, 1908, 17, 3: 440—525.

