Липосаркома
Липосаркóма — злокачественное новообразование, относится к группе мезенхимальных опухолей, клетки которых имеют тенденцию превращаться в жировые. По частоте занимает 2 место (после фибросарком) среди злокачественных опухолей мягких тканей. Эти опухоли редко встречаются у детей; частота их возникновения увеличивается с возрастом, достигая наивысшего уровня у людей 50-60 лет. Липосаркомы несколько чаще наблюдаются у мужчин. Они могут поражать любые участки тела, но всё же чаще отмечаются на нижних конечностях, особенно на бедре и в области коленного сустава, а также в забрюшинном пространстве. Вторым по частоте местом локализации этих опухолей является плечо. Исключительно редко (единичные случаи) наблюдается развитие липосарком как из одиночных, так и из множественных липом[1].
| Липосаркома | |
|---|---|
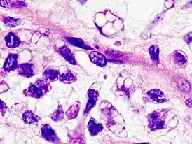
![]() Микрофотография миксоматозной липосаркомы. Окрашено гематоксилином и эозином. | |
| МКБ-11 | XH2J05 |
| МКБ-О | M8850/3 |
| DiseasesDB | 31482 |
| eMedicine | /856 |
| MeSH | D008080 |
Патологическая анатомия
В зависимости от гистологических особенностей, различают следующие типы липосарком[2]:
- высокодифференцированная липосаркома
- низкой степени злокачественности
- более 50 % всех липосарком
- содержит значительное количество жировой ткани, синоним атипичная липома
- миксоидная липосаркома (эмбриональная липома);
- 2-я по частоте
- круглоклеточная липосаркома/дедифференцированная липосаркома;
- плеоморфная липосаркома;
- смешанная форма
- может содержать структуры, типичные для всех видов липосаркомы.
Клиника и диагностика
Обычно липосаркомы развиваются в глубине тканей и бывают связаны с межмышечными фасциальными и околосуставными тканями. От степени дифференцировки опухоли зависит и клиническая картина[1].
Клинически различают следующие виды липосарком:
- высокодифференцированная липосаркома (синонимы: полиморфноядерная липома, полиморфноядерная фиброаденома, склерозирующая липома);
- миксоматозная липосаркома (синонимы: эмбриональная липома);
- круглоклеточная липосаркома (синонимы: аденоидная липома, липома инфильтративно-фетальноклеточная, липобластическая саркома);
- полиморфная липосаркома (синонимы: истинная липосаркома, липоцитарная саркома);
- недифференцированная липосаркома.
Редким вариантом являются липосаркомы смешанного типа — комбинация миксоидной или круглоклеточной с высокодифференцированными и плеоморфными компонентами[3].

Высокодифференцированные опухоли растут медленно, мало беспокоят больного и обычно являются случайной находкой, когда опухоль достигает значительных размеров.
Малодифференцированные опухоли (миксоматозная липосаркома) растут быстро и в течение короткого промежутка времени достигают больших размеров[1].
Недифференцированная липосаркома содержит два отдельных хорошо различающихся между собой составных компонента, а именно участки хорошо дифференцированной липосаркомы и участки саркомы высокой степени злокачественности, напоминающей либо злокачественную фиброзную гистиоцитому, либо плеоморфную фибросаркому. Эти два компонента можно наблюдать в различных областях опухоли одновременно, однако второй компонент может развиться на фоне первого по мере прогрессирования опухоли. Биологические свойства этой формы липосаркомы не полностью определены, но, возможно, они частично зависят от выраженности дедифференцировки[4].
Липосаркомы могут быть множественными и встречаться в различных областях тела, однако замечено, что излюбленной локализацией высокодифференцированной липосаркомы является забрюшинная клетчатка; миксоматозной липосаркомы — межмышечная жировая ткань бедра и голени. Липосаркомы в основном медленно растут и редко метастазируют; описаны случаи заноса метастазов вместе с кровотоком в лёгкие, печень, костный мозг при миксоматозном и полиморфном типах липосаркомы[5].
Диагностика
При осмотре и пальпации — это мягкоэластичная, округлая, дольчатая, безболезненная, отграниченная от прилегающих тканей опухоль, покрытая неизменённой кожей. Первичные липосаркомы растут экспансивно, создавая ложное впечатление их обособленности и даже инкапсуляции. На самом же деле они растут вдоль межмышечных пространств[1].
Дифференциальная диагностика должна проводиться главным образом с липомой, гиберномой и рабдомиомой[1]. Одновакуольные перстневидные липобласты имеют сходство с клетками, обнаруживаемыми при аденокарциноме[6].
Лечение
Основным методом лечения липосарком является хирургическое удаление опухоли. Выбор метода оперативного вмешательства зависит от локализации, степени злокачественности опухоли, её подвижности, первичного или рецидивного характера, а также наличия метастазов[1]. Так, например внутримышечная липосаркома должна удаляться с группой соответствующих мышц. При многофокусной, плохо отграниченной и распространяющейся по межмышечным или фасциальным пространствам опухоли, а также в случае инвазии кости показана ампутация конечности.[6]
Показана послеоперационная радиотерапия (от 40 до 70 Гр), особенно при малодифференцированных и рецидивных опухолях[1], а также отдалённых метастазах.
Химиотерапию (доксорубицин, циклофосфамид, винкристин, дактиномицин, блеомицин, дакарбазин) применяют при крупных неоперабельных опухолях, опухолях с высокой степенью злокачественности или при наличии метастазов, её часто проводят в комбинации с оперативным лечением и лучевой терапией[6]. В ряде случаев (малодифференцированные липосаркомы) необходимо выполнять радикальную операцию[1].
Прогноз
Зависит от многих факторов, но решающим является степень дифференцировки опухоли (чем выше дифференцировка, тем лучше прогноз). Так, рецидивы возникают в 36,4 % случаев, метастазы 31,8 %, общая 5-летняя выживаемость составляет 58,9 % после комплексного лечения[7]. Стойкое выздоровление (100 %), по различным данным достигается в 30—40 % случаев[1].
Литература
- Онкология — учебник для мед. ин-тов / Б. Е. Петерсон. — М. : Медицина, 1980. — 447 с. : ил. — 01.20 р.
- Справочник по онкологии / под редакцией проф. Б. Е. Петерсона. — Ташкент: Медицина, 1966. — 500 с.
Ссылки
Примечания
- Справочник по онкологии / под редакцией проф. Б. Е. Петерсона. — Ташкент: Медицина, 1966. — 500 с.
- Vinay Kumar, Abul K. Abbas, Nelson Fausto. Pathologic basis of disease. — Elsevier Saunders, 2005.
- Липосаркома конечностей у взрослых. Пер. с англ. Н. Д. Фирсовой (2017)
- Онкология. Саркома. Липосаркома. | www.radiomed.ru — сайт врачей лучевой диагностики. Дата обращения: 26 октября 2012. Архивировано 19 апреля 2013 года.
- Липосаркома. Дата обращения: 27 сентября 2016. Архивировано 19 апреля 2013 года.
- http://meduniver.com/Medical/Dermat/322.html MedUniver
- Липосаркома. Дата обращения: 12 апреля 2013.
.JPG.webp)