Поясная кора
Поясная кора (лат. cortex cingularis) — часть головного мозга, расположенная в медиобазальной части коры больших полушарий. Поясная извилина (лат. gyrus cinguli) является частью поясной коры и расположена непосредственно над мозолистым телом. Поясная кора считается частью лимбической доли.
| Поясная кора | |
|---|---|
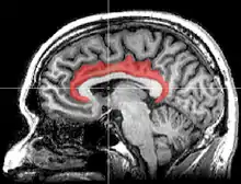
![]() Медиальная поверхность левого полушария. Поясная извилина и поясная борозда выделены жёлтым цветом. | |
| Часть | Кора больших полушарий |
| Сокращение | Cg |
| Каталоги | |


Поясная кора обрабатывает данные из таламуса и новой коры и передаёт в энторинальную кору посредством ассоциативных волокон пояса. Является важной частью лимбической системы, отвечает за формирование и обработку эмоций[2] обучение[3] и память[4][5]. Объединяет результаты поведения с мотивацией (например, если какое-то действие вызвало позитивную эмоциональную реакцию, это способствует обучению)[6]. Структуры поясной коры играют большую роль в возникновении таких расстройств как депрессия[7] и шизофрения[8]. Также играет роль в осуществлении исполнительных функций и дыхательном контроле.

Структура
По цитоархитектонике выделяют следующие поля Бродмана: 23, 24, 26, 29, 30, 31, 32 и 33. Поля 26, 29 и 30 составляют ретроспленальную кору.

Клиническое значение
При использовании трёхмерной магнитной резонансной томографии для оценки объёма рострального отдела передней поясной коры (англ. perigenual cingulate gyrus), японские исследователи (Такахаси и другие) выяснили, что ростральная часть передней поясной извилины у здоровых женщин больше, чем у мужчин, но у людей с шизофренией таких половых различий обнаружено не было. У людей с шизофренией также был меньший объём ростральной части передней поясной извилины по сравнению с контрольной группой здоровых людей[9].
Мустафа Мехмет Хазнедар с коллегами в 2004 году опубликовал исследование, в ходе которого изучил интенсивность метаболизма глюкозы в передней и задней поясной извилине у пациентов с шизофренией и шизотипическим расстройством. Выяснилось, что по сравнению с контрольной группой у больных шизофренией интенсивность метаболизма глюкозы была снижена в левой передней и правой задней поясной извилине. У пациентов с шизотипическим расстройством интенсивность метаболизма глюкозы была повышенной в левой задней поясной извилине. Объём левой передней поясной извилины и поля Бродмана 24 был снижен у больных шизофренией по сравнению с контрольной группой. На основании исследований шизофрения и шизотипическое расстройство были признаны различными заболеваниями[10].
В исследовании 2010 года проводилось сравнение объёма серого и белого вещества передней части поясной извилины у больных шизофренией и их здоровых родственников первой и второй степени. В результате не было выявлено существенных различий в объёме белого вещества у больных шизофренией по сравнению с их здоровыми родственниками. Объём серого вещества у больных шизофренией был ниже, чем у их родственников второй степени, и существенно не отличался по сравнению с их родственниками первой степени. И у больных шизофренией, и у их здоровых родственников первой степени был обнаружен меньший объём серого вещества передней поясной извилины по сравнению с родственниками второй степени. Предполагается, что имеется генетическая предрасположенность к шизофрении[11].
Японские нейрофизиологи (Фудзивара и другие) провели эксперимент, в котором исследовали корреляцию между размером передней части поясной извилины у людей с шизофренией и функционированием их социального познания, психопатологией и эмоциями по сравнению с контрольной группой здоровых людей. Было обнаружено, что меньший размер передней части поясной извилины соответствовал худшим социальным навыкам и более высоким уровням психопатологии у больных шизофренией. У больных шизофренией передняя поясная извилина была билатерально меньше по сравнению с людьми из контрольной группы[12]. Кроме того, у больных шизофренией наблюдается меньший объём гиппокампа[13] и полосатого тела[14]. При том, что у больных шизофренией меньше объём серого вещества, у них наблюдается больший объём боковых и третьего желудочков головного мозга[15].
Дополнительные изображения
Медиальная поверхность полушария головного мозга
Медиальная поверхность полушария головного мозга
Медиальная поверхность полушария головного мозга
Примечания
- Cingulate gyrus // Foundational Model of Anatomy
- Hadland, K. A.; Rushworth M.F. et al. The effect of cingulate lesions on social behaviour and emotion (англ.) // Neuropsychologia : journal. — 2003. — Vol. 41, no. 8. — P. 919—931. — doi:10.1016/s0028-3932(02)00325-1. — PMID 12667528.
- Cingulate binds learning (англ.) // Trends Cogn Sci : journal. — Cell Press, 1997. — Vol. 1, no. 1. — P. 2. — doi:10.1016/s1364-6613(97)85002-4. — PMID 21223838.
- Kozlovskiy, S.; Vartanov A.; Pyasik M.; Nikonova E.; Velichkovsky B. Anatomical Characteristics of Cingulate Cortex and Neuropsychological Memory Tests Performance (англ.) // Procedia - Social and Behavioral Sciences : journal. — 2013. — 10 October (vol. 86). — P. 128—133. — doi:10.1016/j.sbspro.2013.08.537.
- Kozlovskiy, S.A.; Vartanov A.V.; Nikonova E.Y.; Pyasik M.M.; Velichkovsky B.M. The Cingulate Cortex and Human Memory Processes (англ.) // Psychology in Russia: State of the Art : journal. — 2012. — Vol. 5. — P. 231—243. — doi:10.11621/pir.2012.0014.
- Hayden, B. Y.; Platt, M. L. Neurons in Anterior Cingulate Cortex Multiplex Information about Reward and Action (англ.) // Journal of Neuroscience : journal. — 2010. — Vol. 30, no. 9. — P. 3339—3346. — doi:10.1523/JNEUROSCI.4874-09.2010. — PMID 20203193.
- Drevets, W. C.; Savitz, J.; Trimble, M. The subgenual anterior cingulate cortex in mood disorders (англ.) // CNS spectrums : journal. — 2008. — Vol. 13, no. 8. — P. 663—681. — doi:10.1017/s1092852900013754. — PMID 18704022.
- Adams, R.; David, A. S. Patterns of anterior cingulate activation in schizophrenia: A selective review (англ.) // Neuropsychiatric Disease and Treatment : journal. — 2007. — Vol. 3, no. 1. — P. 87—101. — doi:10.2147/nedt.2007.3.1.87. — PMID 19300540.
- Takahashi, T.; Suzuki, M.; Kawasaki, Y.; Hagino, H.; Yamashita, I.; Nohara, S.; Nakamura, K.; Seto, H.; Kurachi, M. Perigenual cingulate gyrus volume in patients with schizophrenia: A magnetic resonance imaging study (англ.) // Biological Psychiatry : journal. — 2003. — Vol. 53, no. 7. — P. 593—600. — doi:10.1016/S0006-3223(02)01483-X. — PMID 12679237.
- Haznedar, M. M.; Buchsbaum, M. S.; Hazlett, E. A.; Shihabuddin, L.; New, A.; Siever, L. J. Cingulate gyrus volume and metabolism in the schizophrenia spectrum (англ.) // Schizophrenia Research : journal. — Elsevier, 2004. — Vol. 71, no. 2—3. — P. 249—262. — doi:10.1016/j.schres.2004.02.025. — PMID 15474896.
- Costain, G.; Ho, A.; Crawley, A. P.; Mikulis, D. J.; Brzustowicz, L. M.; Chow, E. W. C.; Bassett, A. S. Reduced gray matter in the anterior cingulate gyrus in familial schizophrenia: A preliminary report (англ.) // Schizophrenia Research : journal. — Elsevier, 2010. — Vol. 122, no. 1—3. — P. 81—84. — doi:10.1016/j.schres.2010.06.014. — PMID 20638248.
- Fujiwara, H.; Hirao, K.; Namiki, C.; Yamada, M.; Shimizu, M.; Fukuyama, H.; Hayashi, T.; Murai, T. Anterior cingulate pathology and social cognition in schizophrenia: A study of gray matter, white matter and sulcal morphometry (англ.) // NeuroImage : journal. — 2007. — Vol. 36, no. 4. — P. 1236—1245. — doi:10.1016/j.neuroimage.2007.03.068. — PMID 17524666.
- Koolschijn, P. C. D. M. P.; Van Haren, N. E. M.; Cahn, W.; Schnack, H. G.; Janssen, J.; Klumpers, F.; Hulshoff Pol, H. E.; Kahn, R. S. Hippocampal Volume Change in Schizophrenia (англ.) // The Journal of Clinical Psychiatry : journal. — 2010. — Vol. 71, no. 6. — P. 737—744. — doi:10.4088/JCP.08m04574yel. — PMID 20492835.
- Mitelman, S. A.; Canfield, E. L.; Chu, K. W.; Brickman, A. M.; Shihabuddin, L.; Hazlett, E. A.; Buchsbaum, M. S. Poor outcome in chronic schizophrenia is associated with progressive loss of volume of the putamen (англ.) // Schizophrenia Research : journal. — Elsevier, 2009. — Vol. 113, no. 2—3. — P. 241—245. — doi:10.1016/j.schres.2009.06.022. — PMID 19616411.
- Kempton, M. J.; Stahl, D.; Williams, S. C. R.; Delisi, L. E. Progressive lateral ventricular enlargement in schizophrenia: A meta-analysis of longitudinal MRI studies (англ.) // Schizophrenia Research : journal. — Elsevier, 2010. — Vol. 120, no. 1—3. — P. 54—62. — doi:10.1016/j.schres.2010.03.036. — PMID 20537866.
Ссылки
- Обзор публикаций на сайте ScienceDirect.com (англ.)
